You deserve a straight, confident smile without the stress and guesswork. Whether you are 13 or 80, choosing to straighten your teeth is a life-changing decision. That's why we put your health and your final result first.
Award-Winning Invisalign & Clear Aligner Treatment in Bedford
Straightening your teeth does more than just look good. Straight teeth are much easier to clean, which helps you keep your gums healthy and reduces the risk of periodontal disease. We deliver exceptional, award-winning outcomes using modern, discrete clear aligner therapy.
Our promise is simple: to be your dedicated guide on an affordable path to the smile you’ve always wanted. Invisalign aligners are virtually invisible. Others may not even notice you're wearing them....
Platinum Elite Provider**
Invisalign Clear Aligners In Bedford
Are you worried about choosing the wrong path or feeling frustrated with the lack of information received elsewhere? Many people seeking clear aligners are often unsure where to start or who they can truly trust with their long-term oral health.
We understand that anxiety. That is why Dr. Mehta, a highly qualified and award-winning clinician with a special interest in clear aligner therapy, is dedicated to your care right here in Bedford. You don't need to travel far for world-class, advanced treatment.
When you work with a proven practitioner, you get more than just trays; you get a precise plan designed for your unique anatomy and goals. This professional supervision means less worry for you and better results in the end.


Key Benefits of Invisalign Clear Aligners
Choosing clear aligners means choosing freedom and health. One of the biggest advantages is quicker results; simple cases can be finished in just six to nine months. Because the trays can move several teeth at once, your journey is often faster than with old-fashioned braces.
You also get predictable outcomes you can see before you even start. Our advanced computerized planning shows you a 3D simulation of your future dream smile. You'll know exactly how your teeth will look and how long it will take to get there.
Comfort is key to your confidence. The aligners are made of a smooth, high-quality resin that won't irritate your mouth like metal wires can. They are also virtually invisible, so friends may not even notice you are wearing them.
You get total lifestyle freedom because the aligners are removable. This means there are no food restrictions at all (hello popcorn!). You can also pop them out for sports or playing music, and you'll spend less time in the dentist's chair with fewer required visits.
A straighter smile is a healthier smile. Evenly-placed teeth are much easier to brush and floss, which reduces your risk of gum disease. We help you achieve a look you love while making sure your oral health is protected for the long term.


Invisalign, the Invisalign logo, and iTero, among others, are trademarks of Align Technology, Inc. and are registered in the U.S. and other countries.
Your treatment is guided by Dr. Neeta Mehta, a clinician committed to providing exceptional outcomes. Her extensive background includes working in specialized areas such as Oral Maxillofacial Surgery and General Dental Practice.
Crucially, Dr. Mehta has completed years of advanced education, holding a Postgraduate Diploma in Clear Aligner Therapy and a Postgraduate Diploma in Primary Care Orthodontics. This extensive training ensures a higher level of precision and planning for every case.
Her skill isn’t just theoretical; it’s proven. Dr. Mehta was a winner of the prestigious Aligner Case of the Month competition and has received nominations for Aligner Case of the Year. These accolades show her work achieves exceptional, internationally recognized results.
Choosing Dr. Mehta means you are choosing a highly trained guide whose precision transforms smiles and helps you supercharge your confidence.
Dr Neeta Mehta (GDC 82463)
BDS (Lond) MFDS RCS(Eng) PGDip Clear Aligner Therapy, PGDip Orthodontics, BSc (Hons) Molecular Medicine


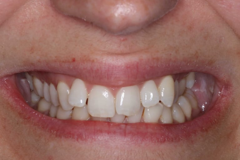
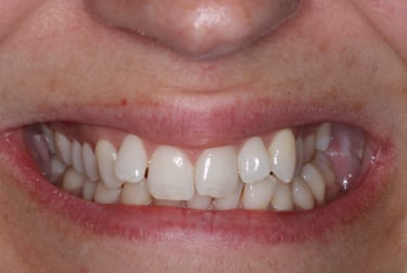
Before & After Photos
neeta mehta
Before
After
neeta mehta
neeta mehta
neeta mehta
neeta mehta










neeta mehta
Testimonials
“After a very nervous first visit thinking my teeth couldn’t be corrected, Neeta filled me with confidence that she could successfully do something. Neeta has gone beyond my expectations and done an amazing job, I can’t thank her enough! I can now smile without feeling paranoid.”
AB
“I was always very self-conscious about my smile and Invisalign seemed like a great choice. Neeta made the whole process really simple, she listened to my concerns and worked hard to help me achieve the smile I hoped for. I am very happy with the final result, the experience was very positive and I would highly recommend Neeta and Invisalign”
MN
“My teeth had always bothered me and Invisalign was a perfect solution as I didn’t want a fixed brace. Neeta talked me through the whole process and answered any queries I had during my Invisalign journey. I smile with such confidence now. The only regret I have is not doing it sooner! Thank you!"
AW
“Before having my Invisalign treatment, I lacked confidence and hated my photos. I decided to invest and go ahead with the Invisalign treatment and I am so glad that I did! I have so many compliments on my new straight teeth and no longer try and hide them in photos. Neeta & her dental nurse have been amazing! I’m so happy with my new smile- it was well worth the money! Thank you.”
LB
The true measure of our success is the transformation and happiness of our clients. Testimonials often highlight the professionalism and friendly approach of the team, which is essential when undergoing a long-term treatment journey.
Our Surgery


Dr. Mehta practices at Edward Byrne Associates, a traditional, friendly, and professional dental practice in Bedford. We prioritize a welcoming atmosphere to help you feel completely at ease from the moment you walk through the door.
We understand that dental visits can cause anxiety, which is why we cultivate a caring, relaxed environment. Our goal is to ensure your experience is positive and that you feel comfortable and immediately in good hands throughout your journey.
We utilize the latest well-developed techniques and advanced technology to ensure precise planning and exceptional aesthetic outcomes. You receive world-class treatment in a comfortable, local setting.
**Edward Byrne Associates are part of the Kana Health Group and have Platinum Elite Invisalign Provider Status.
* a £25 reservation fee is required to secure the appointment. This is fully refundable on attendance. You will be under no obligation to proceed with any treatment.
The easiest way to begin is by booking your *free, no-obligation consultation. We will discuss your goals, assess your needs, and show you exactly how clear aligners can work for you.
You can call us directly, use the contact form below or book online right now to secure your preferred time. We look forward to guiding you through this exciting transformation.


